北京梦雨楼论坛官网入口 ,汕头桑拿网蒲友论坛,楼凤阁栖凤楼论坛栖凤楼茶楼论坛永久地址,泻火楼论坛一品楼凤qm楼论坛
English
邮箱登录
ARP
OA系统
文献资源与服务
首 页
所况简介
所况简介
所长致辞
现任领导
两委委员
所务委员
学术委员会
学位评定委员会
机构设置
人才队伍
全体研究组长
智库团队负责人
青年研究员
科学研究
研究单元
科研进展
论文
专著
产业合作
产业合作概况
产业合作动态
专利技术推介
专利信息
软件著作权
资管公司(中科崟康)
研究生教育
博士后
概况
进站
出站
支撑平台
所级公共技术中心
采购管理平台
所级科学数据中心
国家鼠和兔类实验动物资源库
党建文化
组织体系
廉政建设
党群动态
科学普及
科普动态
科普作品
信息公开
信息公开规定
信息公开指南
信息公开目录
信息公开年度报告
预算决算公开
信息公开联系方式
焦点图文
您当前的位置 :
首页
>
焦点图文
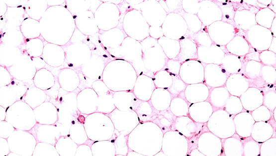
营养与健康所翟琦巍研究组揭示预防肥胖的糖尿病人肝癌发生的新思路以及AAV基因治疗的新问题
6月5日,国际学术期刊EMBO Molecular Medicine在线发表了中国科学院上海营养与健康研究所翟琦巍研究组题为“AAV induces hepatic necroptosis and carcinoma in diabetic and obese mice dependent on Pebp1 pathway”的研究论文。
2023-06-06
营养与健康所李于研究组合作发现脯氨酸羟基化修饰调控2型糖尿病的新机制
中国科学院上海营养与健康研究所、西南医科大学附属医院和青岛大学研究人员首次解析脯氨酸羟基化修饰调控2型糖尿病进展的新机制,揭示了脯氨酸羟化酶3(PHD3)通过羟基化增加糖异生关键转录因子CRTC2的核定位与活性,进而增加肝脏糖异生基因表达和葡萄糖产生。该研究成果于5月30日在《美国科学院院刊》(PNAS)在线发表。
2023-05-31
营养与健康所谢东研究组揭示PPDPF调控肝癌的新机制
4月5日,国际学术期刊Cell Reports在线发表了中国科学院上海营养与健康研究所谢东研究组题为“PPDPF suppresses the development of hepatocellular carcinoma through TRIM21-mediated ubiquitination of RIPK1”的研究成果。
2023-04-06
营养与健康所应浩研究组发现碘过量抑制甲状腺激素合成的新机制
2023年2月9日,中国科学院上海营养与健康研究所应浩研究组在Nutrients上在线发表了题为“Iodide Excess Inhibits Thyroid Hormone Synthesis Pathway Involving XBP1-Mediated Regulation”的论文。
2023-02-10
营养与健康所应浩研究组揭示甲状腺激素通过脂肪细胞β受体调控胞内糖脂代谢和全身代谢稳态的机制
2023年2月1日,中国科学院上海营养与健康研究所应浩研究组在Diabetes期刊在线发表了标题为“Adipocyte thyroid hormone β receptor-mediated hormone action fine-tunes the intracellular glucose and lipid metabolism and systemic homeostasis”的研究论文。
2023-02-02
营养与健康所陈雁研究组发现间歇性蛋白限制能在大鼠模型上改善2型糖尿病
近期,中国科学院上海营养与健康研究所陈雁研究组在国际学术期刊The Journal of Nutritional Biochemistry在线发表了标题为“Intermittent protein restriction improves glucose homeostasis in Zucker diabetic fatty rats and single-cell sequencing reveals distinct changes in β cells”的研究成果。
2023-03-30
营养与健康所陈雁研究组发现肝脏中MCT1介导的乳酸转运参与调控小鼠肥胖和肝脏脂肪变性
2023年3月16日,中国科学院上海营养与健康研究所陈雁研究组在国际学术期刊Metabolism在线发表了题为“Monocarboxylate transporter 1 in the liver modulates high-fat diet-induced obesity and hepatic steatosis in mice”的研究论文。
2023-03-17
营养与健康所武爱波研究组构建呕吐毒素重要靶动物安全性评价体系
2023年3月7日,中国科学院上海营养与健康研究所武爱波研究组在国际学术期刊Journal of Hazardous Materials在线发表了题为“Mycotoxin deoxynivalenol-induced intestinal flora disorders, dysfunction and organ damage in broilers and pigs”的论文。
2023-03-08
营养与健康所丁秋蓉研究组发现肝脏再生过程中肝脏脂质动态变化信号转变为再生修复信号的关键“桥梁”因子
2023年3月18日,中国科学院上海营养与健康研究所丁秋蓉研究组在国际期刊Nature Communications在线发表了题为“Acute liver steatosis translationally controls the epigenetic regulator MIER1 to promote liver regeneration in a study with male mice”的研究论文。
2023-03-19
营养与健康所丁秋蓉研究组开发人PSC衍生的肝类器官在药物肝毒性评估及抗肝纤维化药物筛选中的应用
2023年3月3日,国际学术期刊Cell Regeneration在线发表了中国科学院上海营养与健康研究所丁秋蓉研究组的研究文章“Modeling drug-induced liver injury and screening for anti-hepatofibrotic compounds using human PSC-derived organoids”。
2023-03-04
营养与健康所丁秋蓉研究组发现组蛋白磷酸化响应激素信号调控肝脏糖异生的分子机制
2023年3月1日,中国科学院上海营养与健康研究所丁秋蓉研究组在Molecular Cell杂志在线发表了题为“Histone phosphorylation integrates the hepatic glucagon-PKA-CREB gluconeogenesis program in response to fasting”的研究论文。
2023-03-02
营养与健康所李于研究组发现调控星状细胞激活与非酒精性脂肪性肝炎的新机制
2023年1月3日,国际学术期刊Hepatology在线发表了中国科学院上海营养与健康研究所李于研究组的最新研究成果“Intrahepatic osteopontin signaling by CREBZF defines a checkpoint for steatosis-to-NASH progression”。
2023-01-04
营养与健康所翟琦巍研究组研究成果获Nature研究亮点专评
12月13日,国际学术期刊Nature以“Why does fat return after dieting? The microbiome might have a hand”为题,对近日翟琦巍研究组发表在Nature Metabolism的关于节食后体脂反弹机制的研究成果(https://doi.org/10.1038/s42255-022-00687-6),在Research Highlight栏目进行了专评...
2022-12-14
营养与健康所谢东研究组揭示PPDPF调控胰腺导管腺癌的新机制
2022年12月1日,国际学术期刊Advanced Science在线发表了中国科学院上海营养与健康研究所谢东研究组题为“PPDPF promotes the development of mutant KRAS-driven pancreatic ductal adenocarcinoma by regulating the GEF activity of SOS1”的研究成果。
2022-12-02
营养与健康所翟琦巍研究组揭示节食后体脂反弹和肥胖的机制及其营养干预策略
2022年12月1日,中国科学院上海营养与健康研究所翟琦巍研究组在国际学术期刊Nature Metabolism正式发表了题为“High-protein diet prevents fat mass increase after dieting by counteracting Lactobacillus-enhanced lipid absorption”的研究论文。
2022-12-02
首页
上5页
上一页
11
12
13
14
15
下一页
下5页
尾页
查看更多
Copyright ? 2014- 中国科学院上海营养与健康研究所 版权所有
地址:上海岳阳路319号 邮编:200031
电话:86-21-54920000 传真:86-21-54920078
沪公网安备 31010402008663号
沪ICP备05033115号-77
官方微信